• UA
  • RU
  • Актуальные новости

    На Днепропетровщине врачи спасли ребенка, проглотившего гидрогелевый шарик

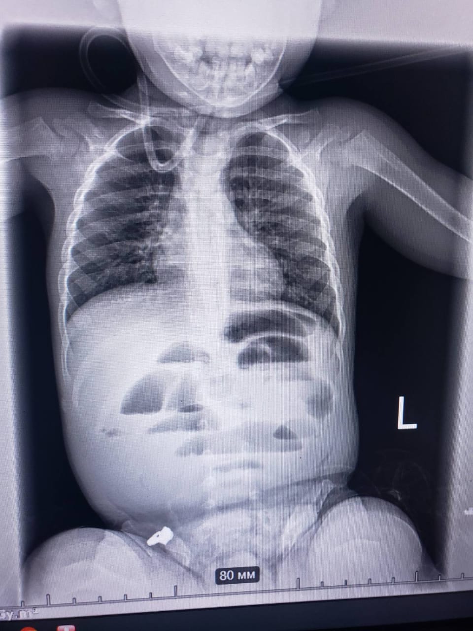
    В Региональный медицинский центр семейного здоровья доставили ребенка возрастом 1 год 8 месяцев с подозрением на кишечную непроходимость. На рентгенограмме органов брюшной полости признаки непроходимости подтвердились.

    Было принято решение провести срочную операцию. Во время нее выявили постороннее тело, полностью перекрывавшее просвет кишечника, – гидрогелевый шарик до 3 сантиметров в диаметре. После удаления инородного тела и наложения узловых швов ребенка перевели в отделение интенсивной терапии.

    В больнице напомнили, что гидрогелевые шарики, которые при контакте с водой становятся эластичными и увеличиваются в размерах, в последнее время стали популярными: их используют как декор, в садоводстве и как игрушки.

    "Как правило, гидрогелевые шарики не токсичны. Но стоит помнить, что маленькие дети могут проглотить их, и это может представлять опасность для организма, поскольку гидрогелевые шарики продолжают разбухать в организме. Такая история произошла с одним из наших маленьких пациентов", — подчеркнули в центре семейного здоровья. – Напоминаем, будьте осторожны и берегите своих близких!"

    Подписывайтесь, читайте и смотрите новости МИС ТВ на ресурсах: YouTube Facebook Instagram Telegram